By Dr. Aparna Sadineni – Dublin Metro Dental

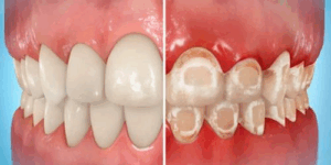
White spots on teeth are more common than many patients realize. They may appear as chalky patches or lighter areas on the enamel and are often dismissed as a simple cosmetic concern. However, these spots can actually be an early warning sign of underlying dental problems.
At Dublin Metro Dental, our goal is to help patients in Dublin, Ohio and surrounding communities protect their smiles with both preventive and cosmetic solutions. Treating white spots early not only improves the appearance of your smile but also supports long-term oral health.
Here are six important reasons why you should never ignore white spots — and why early treatment from an experienced cosmetic dentist in Dublin can make all the difference:

1. Prevent Early Tooth Decay
White spots are often the first sign of enamel demineralization. Left untreated, these areas can progress into cavities. Visiting a trusted Dublin dentist for early intervention helps stop decay before it requires fillings or more invasive care.
2. Restore a Confident, Even Smile
White patches create a noticeable contrast against your natural enamel, making teeth appear blotchy. A skilled cosmetic dentist in Dublin can even out the shade of your teeth with professional treatments, giving you a naturally radiant smile.
3. Stop the Spots from Worsening
White spots don’t usually disappear on their own. Without dental care, they can worsen or spread to other teeth. By seeing a dentist in Dublin early, you can prevent more extensive — and costly — cosmetic procedures in the future.
4. Protect and Strengthen Enamel
Advanced treatments such as remineralization therapies, microabrasion, or cosmetic bonding not only improve appearance but also strengthen tooth enamel. At Dublin Metro Dental, Dr. Sadineni uses modern technology to protect your smile from further damage.
5. Avoid Complex and Costly Procedures
When ignored, white spots can lead to tooth decay that requires crowns, veneers, or other restorative dentistry solutions. Early care with a Dublin cosmetic dentist keeps treatment simple, affordable, and minimally invasive.
6. Boost Self-Esteem and Comfort
Your smile is often the first thing people notice. White spots can make patients feel self-conscious, but with professional treatment from a cosmetic dentist in Dublin, Ohio, you can smile confidently again — whether it’s at work, social events, or in photos.
Expert Dental Care in Dublin, Ohio
White spots may seem harmless, but they’re an early sign your teeth need attention. At Dublin Metro Dental, Dr. Aparna Sadineni offers both preventive and cosmetic dentistry solutions to restore your smile’s health and beauty.
👉 Don’t wait until white spots turn into bigger dental problems. Schedule a consultation today with Dr. Sadineni — your trusted cosmetic dentist in Dublin.
Read some Benefits of White Spot Removal on our Special Website on the Topic – Click the Link Below!



 
    
              
              
              
  












